Our Friendly Doctors Team

Dr (Col) Ashok Rao Matety (R) MD,
Dermatologist

Dr Ritika Sethi MDS,
Pediatric & Preventive Dentist

Dr Ashwin Matety MDS,
Prosthodontist & Implantologist
High Quality Service for You
We are committed to Integrity, Quality and Excellence.
Dental emergency? We can help!
Accidents rarely happen on a schedule, but you don’t have to wait! We offer same-day appointments to help you as soon as possible. Call us now at +91 95151 88832.
New patients are always welcome
Start your path to optimal dental health
What Our Client Says
We are committed to Integrity, Quality and Excellence.
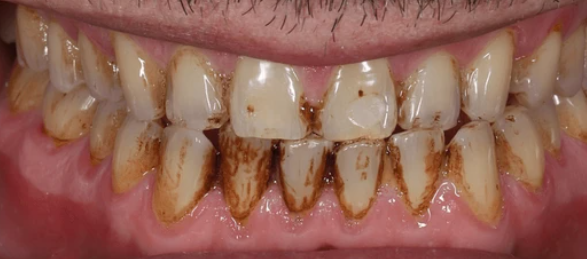
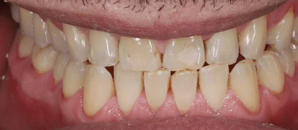
Our patient’s smiles speak for themselves
Smile Makeover
Scaling
BOOK AN APPOINTMENT





